石川県金沢市田上の里の歯医者 LINOファミリアデンタル金沢

  1. 所在地〒920-1156 石川県金沢市田上の里1-2 館Tiara
  2. 診療時間10:00~14:00/15:00~19:00
  3. 休診日水曜、日曜、祝日
076-255-3298
WEB予約
Case

症例集

症例集

LINOファミリアデンタル金沢でインプラント治療を受けられた方の症例のご紹介です。
どのように改善されるか把握いただけるよう手術前後のお写真を掲載していますので、
インプラント治療を検討されている方は、ぜひご参考になさってください

※掲載している症例について

・全て当院で治療を完了し、サイト掲載の許可をいただいた患者さまのものです。
・トリミング(切り抜き)などを除き、画像の修正は行なっていません。
・治療は全て各患者さま固有の症例に対応したものであり、ほかの方への治療結果を保証するものではありません。

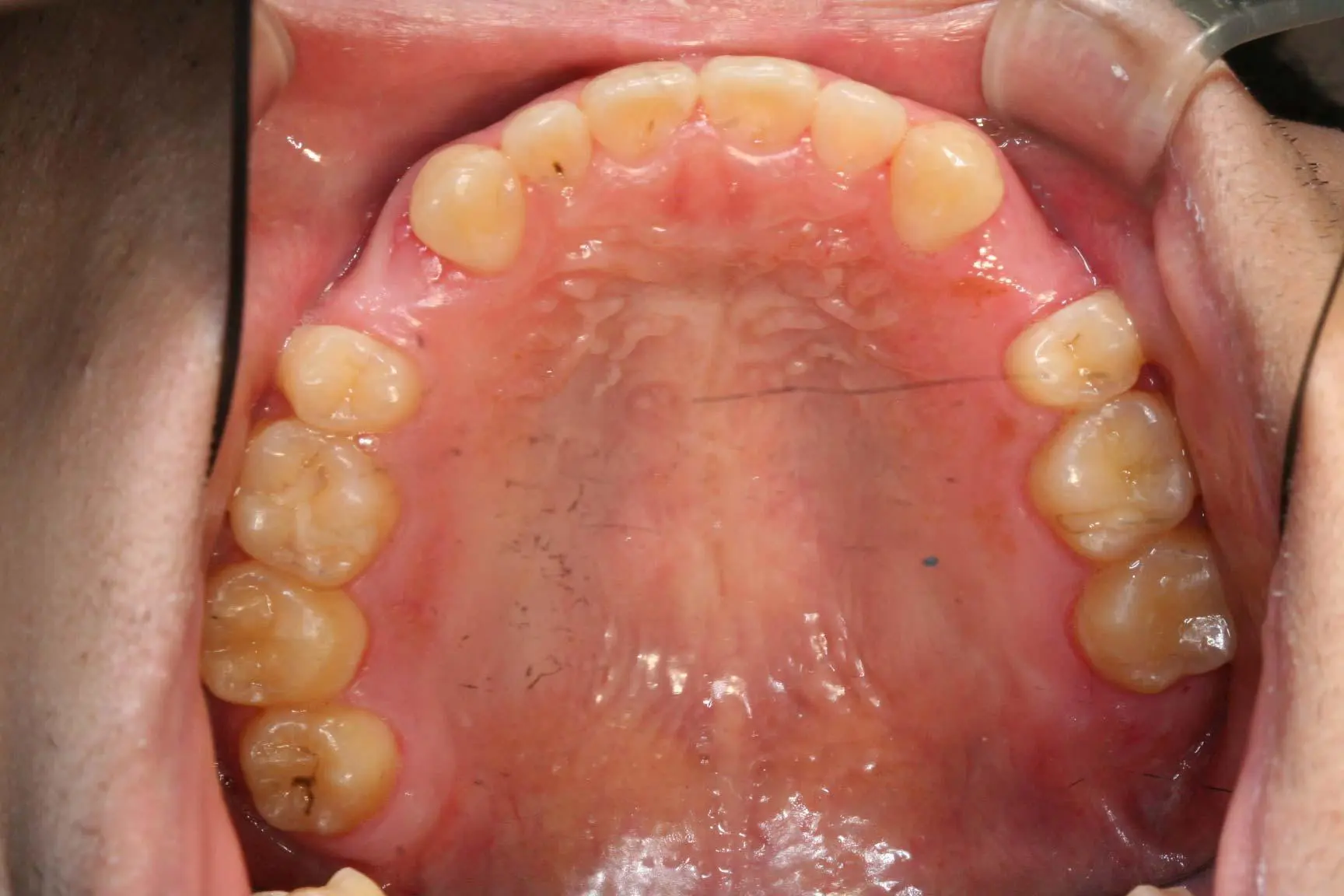
先天性欠損によるインプラント治療

年齢 20歳 性別 男性
治療期間 2ヵ月 費用 800,000円
先天性欠損によるインプラント治療 先天性欠損によるインプラント治療
先天性欠損によるインプラント治療 先天性欠損によるインプラント治療
先天性欠損によるインプラント治療 先天性欠損によるインプラント治療
先天性欠損によるインプラント治療 先天性欠損によるインプラント治療

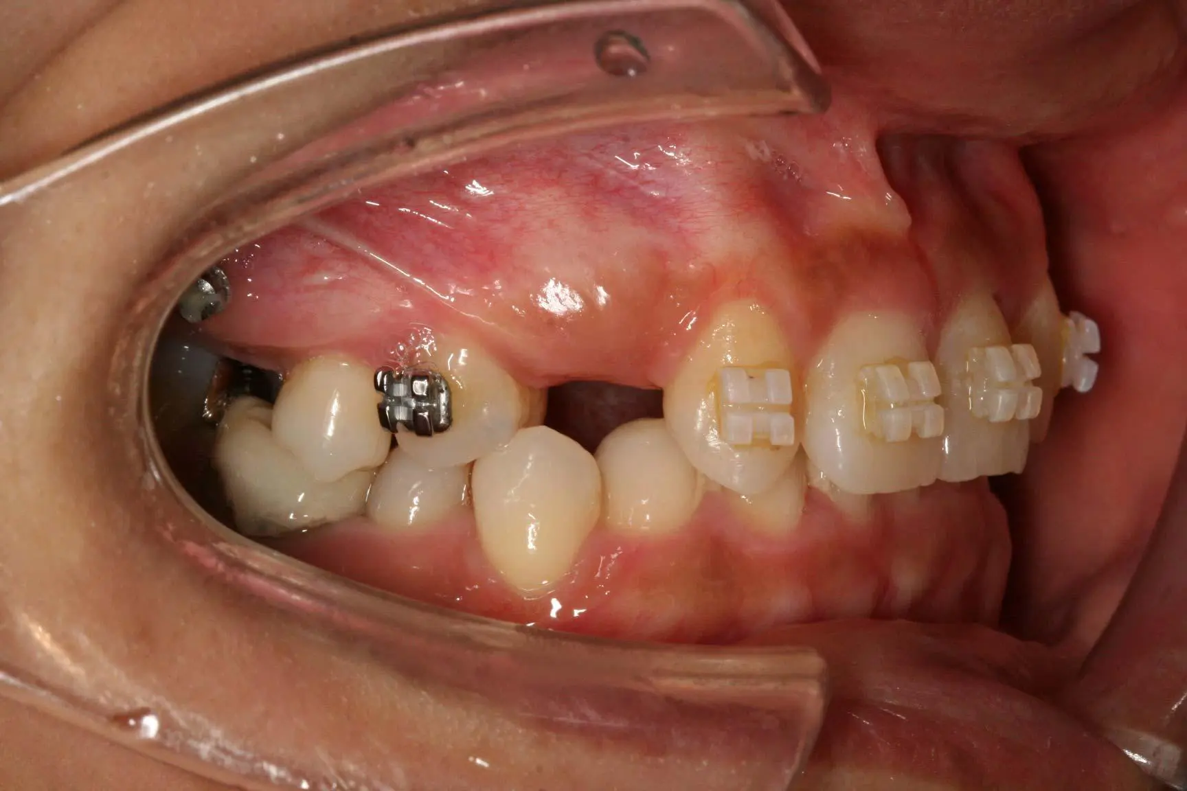
矯正+サイナスリフト ブロック骨移植

年齢 32歳 性別 女性
治療期間 3年 費用 2,600,000円
矯正+サイナスリフト ブロック骨移植 矯正+サイナスリフト ブロック骨移植
矯正+サイナスリフト ブロック骨移植 矯正+サイナスリフト ブロック骨移植

抜歯即時埋入・即時荷重

年齢 52歳 性別 男性
治療期間 4ヵ月 費用 2,800,000円
抜歯即時埋入・即時荷重 抜歯即時埋入・即時荷重
抜歯即時埋入・即時荷重 抜歯即時埋入・即時荷重

抜歯即時埋入・即時荷重

年齢 50歳 性別 女性
治療期間 4ヵ月 費用 3,400,000円
抜歯即時埋入・即時荷重 抜歯即時埋入・即時荷重
抜歯即時埋入・即時荷重 抜歯即時埋入・即時荷重
○インプラント治療にともなう一般的なリスク・副作用

・機能性や審美性を重視するため自費(保険適用外)での診療となり、保険診療よりも高額になります。
・インプラントの埋入にともない、外科手術が必要となります。
・高血圧症、心臓疾患、喘息、糖尿病、骨粗鬆症、腎臓や肝臓の機能障害などがある方は、治療を受けられないことがあります。
・手術後、痛みや腫れが現れることがありますが、ほとんどの場合1週間ほどで治ります。
・手術後、歯肉・舌・唇・頬の感覚が一時的に麻痺することがあります。また、顎・鼻腔・上顎洞(鼻腔の両側の空洞)の炎症、疼痛、組織治癒の遅延、顔面部の内出血が現れることがあります。
・手術後、薬剤の服用により眠気、めまい、吐き気などの副作用が現れることがあります。
・手術後、喫煙や飲酒をすると治療の妨げとなるので、1週間は控えてください。
・インプラントの耐用年数は、口腔内の環境(骨・歯肉の状態、噛み合わせ、歯磨きの技術、メンテナンスの受診頻度、喫煙の有無など)により異なります。
・毎日の清掃が不十分だった場合、インプラント周囲炎(歯肉の腫れや骨吸収など)を引き起こすことがあります。

○骨造成にともなう一般的なリスク・副作用

・機能性を重視するため自費(保険適用外)での診療となり、保険診療よりも高額になります。
・外科手術が必要となります。
・手術後、痛みや腫れが現れることがありますが、ほとんどの場合1週間ほどで治ります。
・治療後、骨がしっかりと作られるまで3~6ヵ月の治癒期間が必要です。
・歯周病の方、心疾患や骨粗鬆症など内科的な疾患のある方は、骨造成治療が適さないことがあります。
・口腔内の衛生状態の悪い方、顎骨が足りない方、免疫力や抵抗力が低下している方、歯周病発生リスクの高いとされる糖尿病の方、喫煙する方は、すぐに治療できないことがあります。
・日常的に服薬しているお薬などが治療に影響することがあります。
・サイナスリフト・ソケットリフトの処置にあたり、上顎洞膜が破れる可能性があります。その場合、手術後に抗生剤を服用して感染を予防し、膜が自然に治癒するまで待ちます。
・体の状態や細菌感染により、骨補填材と骨とが結合しない場合があります。この場合、原因を取り除き、ご希望があれば再治療を行ないます。
・骨の成長途中であるお子さま(おおよそ18歳未満の方)、妊娠中の方は治療が受けられません。